Permanent Retainer Plaque Build Up
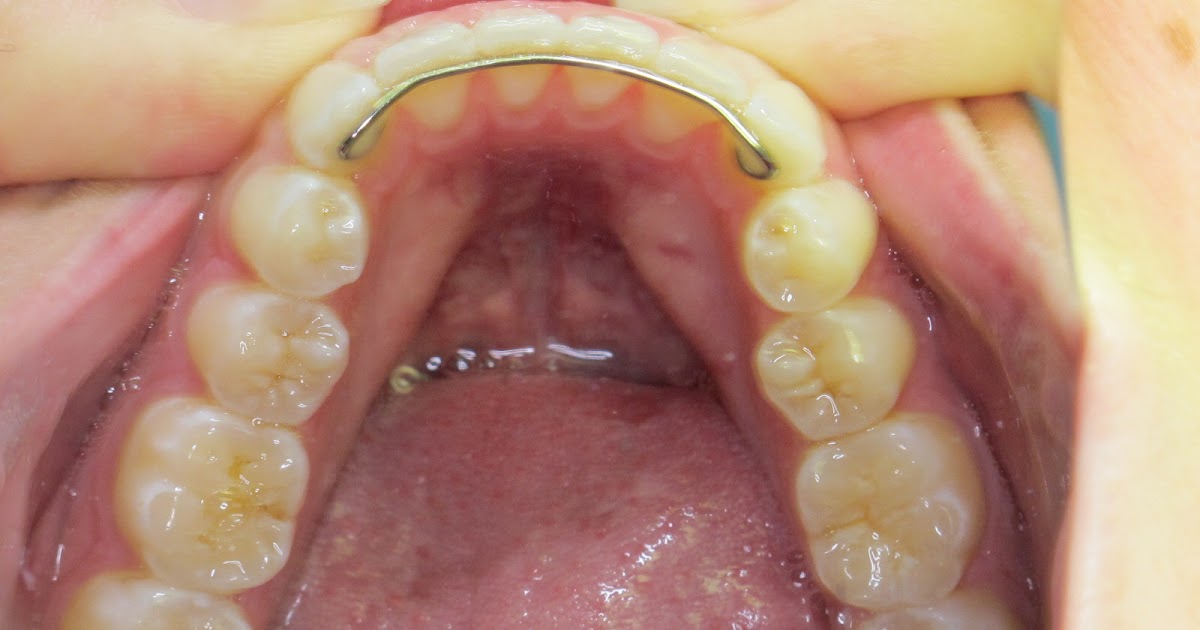
Permanent Retainer Plaque Build Up - Permanent retainers, also known as bonded retainers, are fixed to the back of your teeth, making them a bit trickier to clean compared to removable ones. Patients with permanent retainers need to be extra careful about cleaning their. All you need to do is use a soft. If neglected, they can trap food particles, lead to plaque buildup, and even cause dental issues over time. There are two types of permanent. Once they have hardened onto your retainer, it might mean that you need to spend money to. Since permanent retainers cannot be removed, there is an increased risk of plaque buildup and tooth decay. These tablets are designed specifically to. Yes, this is the function of a retainer. To hold your teeth where they are at the end of ortho treatment. Brushing can help you remove the plaque and bacteria that grow around the appliance and behind the teeth. Since these devices are fixed in place, they can be difficult to. All you need to do is use a soft. To hold your teeth where they are at the end of ortho treatment. When plaque or tartar build up on your retainer, it can be difficult, if not impossible, to remove. Retention is crucial in orthodontics, aiming to preserve treatment outcomes and enhance patient satisfaction with permanent fixed retainers. If you’re looking for the safest and most effective way to remove buildup under your retainer, retainer cleaning tablets are your best bet. Since permanent retainers cannot be removed, there is an increased risk of plaque buildup and tooth decay. If neglected, they can trap food particles, lead to plaque buildup, and even cause dental issues over time. These tablets are designed specifically to. Brushing can help you remove the plaque and bacteria that grow around the appliance and behind the teeth. If neglected, they can trap food particles, lead to plaque buildup, and even cause dental issues over time. Retention is crucial in orthodontics, aiming to preserve treatment outcomes and enhance patient satisfaction with permanent fixed retainers. When plaque or tartar build up. These retainers are bonded to the tongue side of your teeth and are custom fitted. Yes, this is the function of a retainer. One of the most common issues associated with permanent retainers is plaque accumulation. There are two types of permanent. These tablets are designed specifically to. They can be placed and removed only by your orthodontist. This tight space becomes an ideal location for plaque to build up. If neglected, they can trap food particles, lead to plaque buildup, and even cause dental issues over time. These retainers are bonded to the tongue side of your teeth and are custom fitted. Retention is crucial in orthodontics,. Yes, this is the function of a retainer. Since these devices are fixed in place, they can be difficult to. Retention is crucial in orthodontics, aiming to preserve treatment outcomes and enhance patient satisfaction with permanent fixed retainers. Food particles, plaque, and bacteria can easily build up around the wire, leading to oral health problems such as gum disease and. One of the most common issues associated with permanent retainers is plaque accumulation. For permanent retainers, brush the area around the wire to prevent. Patients with permanent retainers need to be extra careful about cleaning their. Here’s how you can properly clean your retainer and avoid these issues. These retainers are bonded to the tongue side of your teeth and. For permanent retainers, brush the area around the wire to prevent. Since permanent retainers cannot be removed, there is an increased risk of plaque buildup and tooth decay. Patients with permanent retainers need to be extra careful about cleaning their. Food particles, plaque, and bacteria can easily build up around the wire, leading to oral health problems such as gum. If neglected, they can trap food particles, lead to plaque buildup, and even cause dental issues over time. All you need to do is use a soft. Once they have hardened onto your retainer, it might mean that you need to spend money to. To hold your teeth where they are at the end of ortho treatment. Retention is crucial. If left uncleaned, plaque can build up on your retainer, leading to bad breath, discoloration, and even corrosion. If neglected, they can trap food particles, lead to plaque buildup, and even cause dental issues over time. Patients with permanent retainers need to be extra careful about cleaning their. They can be placed and removed only by your orthodontist. Retention is. However, you will need to step up your cleaning habits with a bonded retainer since it can increase the risk of plaque buildup and tooth decay. One of the most common issues associated with permanent retainers is plaque accumulation. Permanent retainers, also known as bonded retainers, are fixed to the back of your teeth, making them a bit trickier to. This tight space becomes an ideal location for plaque to build up. Since these devices are fixed in place, they can be difficult to. For permanent retainers, brush the area around the wire to prevent. When plaque or tartar build up on your retainer, it can be difficult, if not impossible, to remove. All you need to do is use. Since these devices are fixed in place, they can be difficult to. Since permanent retainers cannot be removed, there is an increased risk of plaque buildup and tooth decay. Brushing can help you remove the plaque and bacteria that grow around the appliance and behind the teeth. These retainers are bonded to the tongue side of your teeth and are custom fitted. These tablets are designed specifically to. Permanent retainers, also known as bonded retainers, are fixed to the back of your teeth, making them a bit trickier to clean compared to removable ones. However, you will need to step up your cleaning habits with a bonded retainer since it can increase the risk of plaque buildup and tooth decay. If left uncleaned, plaque can build up on your retainer, leading to bad breath, discoloration, and even corrosion. Retention is crucial in orthodontics, aiming to preserve treatment outcomes and enhance patient satisfaction with permanent fixed retainers. Patients with permanent retainers need to be extra careful about cleaning their. One of the most common issues associated with permanent retainers is plaque accumulation. Yes, this is the function of a retainer. When permanent retainers are placed, they are bonded closely to the teeth to prevent them from moving. They can be placed and removed only by your orthodontist. This tight space becomes an ideal location for plaque to build up. To hold your teeth where they are at the end of ortho treatment.Orthodontist Dr. Judith A. Okun Westchester and Rye Brook, NY Bonded
how do they put a permanent retainer on? Braces at Tooth Time Family
How to Remove Plaque Buildup on Braces Oral Care Expert
How To Floss with Permanent Retainer (Flossing Tricks) YouTube
Remove Tartar From Teeth Home Remedy 3 Step Formula Tartar removal
Smile Gallery Permanent retainer, Retainer teeth, Perfect smile
Dental Tartar and Plaque Removal for Lower Fixed Retainer Expert Tips
How long should you wear retainers after getting braces off? Windsor
How To Floss Front Teeth With Permanent Retainer Permanent Retainers
Braces Lower permanent retainer Tartar Tooth Time Family Dentistry
All You Need To Do Is Use A Soft.
Food Particles, Plaque, And Bacteria Can Easily Build Up Around The Wire, Leading To Oral Health Problems Such As Gum Disease And Cavities.
If You’re Looking For The Safest And Most Effective Way To Remove Buildup Under Your Retainer, Retainer Cleaning Tablets Are Your Best Bet.
There Are Two Types Of Permanent.
Related Post:









