What Is Crown Build Up
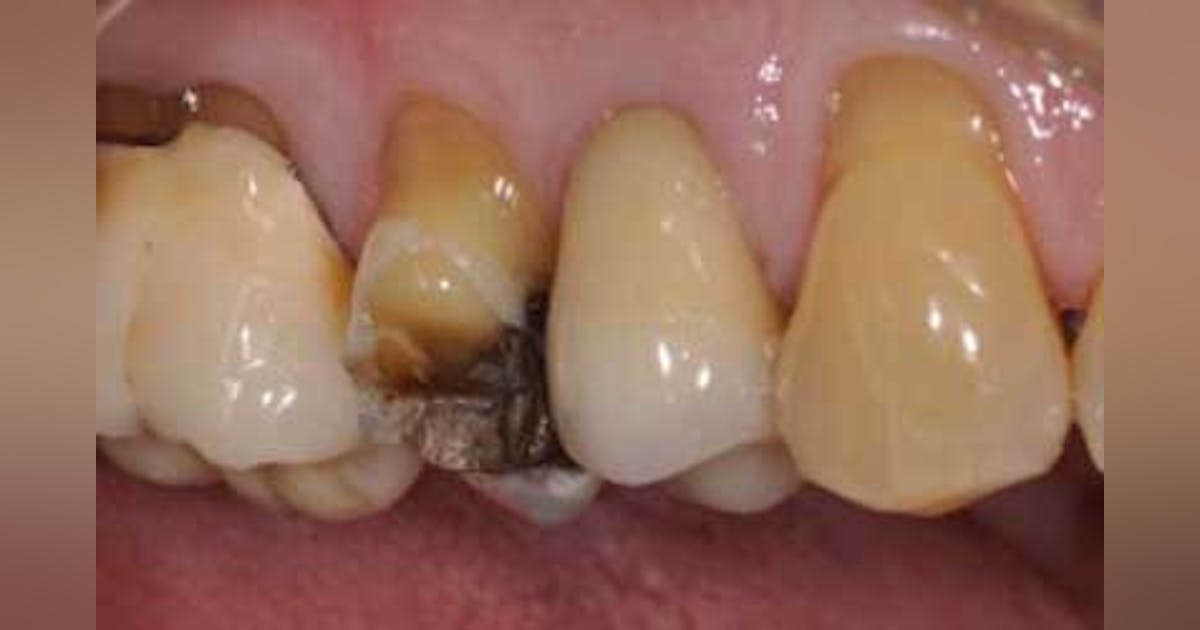
What Is Crown Build Up - A core buildup is a restorative dental procedure that involves replacing missing tooth structure with special filling material so that it can successfully support a dental crown. Dental crowns, also known as caps, are a type of dental restoration that completely cover or encircle a tooth. Most teeth that require a crown (or cap) are broken. It is an essential part of the process of getting a successful crown, because it is the procedure in which the tooth structure. Core buildup is a restorative procedure where a missing portion of the tooth is restored with a dental filling material in order to support a crown restoration. The decay and/or crack is removed and replaced with the buildup, which is composed of a composite material and. Your crown is fitted to ensure. A crown buildup is essentially a large filling that is used to replace enough missing tooth structure to retain a crown (or cap). Fortunately, we can replace the missing portion and save the tooth by building it up with one of the new resin/plastic filling materials. They serve as a protective cover for a weakened or damaged tooth, restoring. Your crown is fitted to ensure. The decay and/or crack is removed and replaced with the buildup, which is composed of a composite material and. That is why these teeth are treated with a buildup filling and crown. Dental crowns are fixed restorative prosthetics use to restore the function of a damaged tooth to its original shape and size. Dental crowns, also known as caps, are a type of dental restoration that completely cover or encircle a tooth. A buildup is a filling that is done in the middle segment of the tooth to seal off the roots from future reinfection and to give the tooth enough “body” to make a crown on. Most teeth that require a crown (or cap) are broken. A core buildup is a restorative dental procedure that involves replacing missing tooth structure with special filling material so that it can successfully support a dental crown. When placed on a tooth, the crown completely. Core buildup is a restorative procedure where a missing portion of the tooth is restored with a dental filling material in order to support a crown restoration. Dental crowns, also known as caps, are a type of dental restoration that completely cover or encircle a tooth. Fortunately, we can replace the missing portion and save the tooth by building it up with one of the new resin/plastic filling materials. The core buildup is part of the preparation of a tooth prior to a crown. Crown build up. A crown buildup is essentially a large filling that is used to replace enough missing tooth structure to retain a crown (or cap). A core buildup is a restorative dental procedure that involves replacing missing tooth structure with special filling material so that it can successfully support a dental crown. Crown build up or post is a type of dental. Core buildup is a restorative procedure where a missing portion of the tooth is restored with a dental filling material in order to support a crown restoration. When placed on a tooth, the crown completely. A core buildup is a restorative dental procedure that involves replacing missing tooth structure with special filling material so that it can successfully support a. In this informative video, we’ll take a closer look at dental crown buildups and their essential role in dental health. That is why these teeth are treated with a buildup filling and crown. A crown buildup is essentially a large filling that is used to replace enough missing tooth structure to retain a crown (or cap). The decay and/or crack. Core buildup is a restorative procedure where a missing portion of the tooth is restored with a dental filling material in order to support a crown restoration. The decay and/or crack is removed and replaced with the buildup, which is composed of a composite material and. A core buildup is a restorative dental procedure that involves replacing missing tooth structure. A crown buildup is essentially a large filling that is used to replace enough missing tooth structure to retain a crown (or cap). A core buildup is a restorative dental procedure that involves replacing missing tooth structure with special filling material so that it can successfully support a dental crown. Core buildup is a restorative procedure where a missing portion. The decay and/or crack is removed and replaced with the buildup, which is composed of a composite material and. The process of getting a dental crown typically involves several appointments: What is a dental crown build up? Your crown is fitted to ensure. That is why these teeth are treated with a buildup filling and crown. Once the tooth is built up, we can place a crown. Most teeth that require a crown (or cap) are broken. They serve as a protective cover for a weakened or damaged tooth, restoring. A core buildup is the process of preparing a tooth to receive a crown, and it’s necessary when too much of the original tooth is missing.. The decay and/or crack is removed and replaced with the buildup, which is composed of a composite material and. What is a dental crown build up? The core buildup is part of the preparation of a tooth prior to a crown. A crown buildup is essentially a large filling that is used to replace enough missing tooth structure to retain. The core buildup is part of the preparation of a tooth prior to a crown. Once the tooth is built up, we can place a crown. Crown build up or post is a type of dental restoration used to stabilize and reenforced a weakened tooth or provide an anchor for a crown. In this informative video, we’ll take a closer. A buildup is a filling that is done in the middle segment of the tooth to seal off the roots from future reinfection and to give the tooth enough “body” to make a crown on. A core buildup is the process of preparing a tooth to receive a crown, and it’s necessary when too much of the original tooth is missing. Your crown is fitted to ensure. Crown build up or post is a type of dental restoration used to stabilize and reenforced a weakened tooth or provide an anchor for a crown. Fortunately, we can replace the missing portion and save the tooth by building it up with one of the new resin/plastic filling materials. Dental crowns are fixed restorative prosthetics use to restore the function of a damaged tooth to its original shape and size. Once the tooth is built up, we can place a crown. A crown buildup is essentially a large filling that is used to replace enough missing tooth structure to retain a crown (or cap). Most teeth that require a crown (or cap) are broken. They serve as a protective cover for a weakened or damaged tooth, restoring. The decay and/or crack is removed and replaced with the buildup, which is composed of a composite material and. A core buildup is a restorative dental procedure that involves replacing missing tooth structure with special filling material so that it can successfully support a dental crown. That is why these teeth are treated with a buildup filling and crown. When placed on a tooth, the crown completely. The core buildup is part of the preparation of a tooth prior to a crown. What is a dental crown build up?Anterior Crowns And Smile Build Up Before & After Photos Ringwood NJ
Build Up + Crown Procedure {Tooth Cavity Removed w/ Rubberdam) YouTube
Composite Crown Build Up Los Alamitos California Dentist
Dental Crown Core Buildup, What is it?, Costa Rica Dental Team Dentists
what is a crown build up bardalesroegner99
Performing a oneminute crown buildup Dentistry IQ
Crown Prep with Core Buildup. Hunter Family Dental
Dentistry Core build up for crowns done in a unique way YouTube
Dental Crowns Healthy Smiles Dentist in Hartford CT
What is a Root Canal, Buildup, and Crown? AdVance Dental PC Dentist
Dental Crowns, Also Known As Caps, Are A Type Of Dental Restoration That Completely Cover Or Encircle A Tooth.
It Is An Essential Part Of The Process Of Getting A Successful Crown, Because It Is The Procedure In Which The Tooth Structure.
Core Buildup Is A Restorative Procedure Where A Missing Portion Of The Tooth Is Restored With A Dental Filling Material In Order To Support A Crown Restoration.
The Process Of Getting A Dental Crown Typically Involves Several Appointments:
Related Post:









